Loading
Dear members, dear friends, and supporters of Mabuhay!
As indicated in my last letter, Michael Kaluza has written about his stay here with us, and I would like to share it with you.
Friends of the Mabuhay Clinic!
What do the Rhineland Carnival and Filipinos have in common? You are happy in life! Whether 18 hours a day karaoke (typical favorite activity), and that a whole week long, or spontaneous "fiestas" with much dancing, or many children who still play in the street together, or an entire family (about 8) who is traveling on a single motorcycle ... Pure Life! And that manifests itself primarily in the people's happy outlook and hospitality: you always get a smile, and they give everything to make your stay as pleasant as possible. In this Philippine joy, I was dragged from June to September this year and allowed to complete a medical internship with Sisters Sabine and Veronica at Mabuhay Clinic. First, I had to get used to the time change (+7 hours), take the heat (26-35 degrees), and high humidity (90%). Although I just endured the tropical climate with shorts and a T-shirt at work, I do the opposite.



They work under the blazing sun with long pants, a sweater, and a hat to protect themselves from sunburn. After a week of acclimatization, I began work at the Mabuhay Clinic. A typical working day was as follows: 6.30 am morning prayer, then breakfast; 8 to 11 am Clinic Hours; 12 o'clock lunch break; 2 to 5 pm Clinic Hours; 6 pm evening prayer, followed by dinner; 10 pm night's sleep. On Wednesday morning, Sr. Sabine volunteers as a school nurse at a nearby high school. On Saturday morning, I went with Sr. Veronica to the village church (St. Francis of Assisi) in Bugko to teach and instruct the Altar boys and girls.



During the Clinic hours, I was allowed to observe and assist Sr. Sabine and volunteer doctors, and gave a supporting hand as much as possible. In close up, I could learn which diseases and concerns the people who are coming to Mabuhay Clinic have. I am particularly touched by children who were malnourished. Once, a mother with her 3-year-old son came over and said, "He is not doing well." During the examination, Sr.Sabine found out that the boy weighed only 7.5 pounds, had a 41.4 degree fever and a bad cold, his stomach was full of worms, and he still could not go! Speechless and without being too sentimental, my heart was almost torn in the chest! What would the doctors in Germany have done in a case like this? From a legal standpoint, I think I do not need to enumerate. Such a condition reflects the situation of the people of Northern Samar: No money - result: no food, no education, no doctor visits, etc.. The result is that many people, with "simple-harmless" diseases, die! And precisely in this extreme case, I was able to experience the appeal of the two sisters: the human care and the concrete human and Dental Help (+ Feeding program) to the poorest, without asking first whether they have money or not!



A highlight was the Medical Mission, when five doctors from Manila came and examined about 650 patients free of charge. I was able to assist the surgeon in the morning, which was very exciting. On the two days, I learned how well the public has accepted the Mabuhay Clinic and how they serve their patients, assuring them that they are cared for. A mirror image of this for me is the many volunteers they have, mainly mothers who volunteer every day to keep the clinic running and serve in the medical mission as a team. This was also evident in medical education during my time in the Dental field. Dr. Klaus de Cassan from the relief organization of German Dentists, the prominent supporters of the Mabuhay Clinic, came for a few days over from Germany with his wife to Bugko to give a training in dental prophylaxis.



Another highlight was the newly completed therapy and teaching pool. It was nice to see how children can enjoy themselves in the water. Almost at the end of my time, I could start with the swimming lessons. Many drowned children were the reason for the foundation project. I could tell a lot from my brief and intense period in the Philippines. Even though I wanted to enrich people´s lives with my help, I was more likely to be enriched by them. Therefore, a hearty God bless. Especially Sister Sabine and Sister Veronica, to Domingo and Dennis, all volunteers, Limpi, Sparky, and Ming Ming, and also to all those whom I had met in those three months, Salamat!
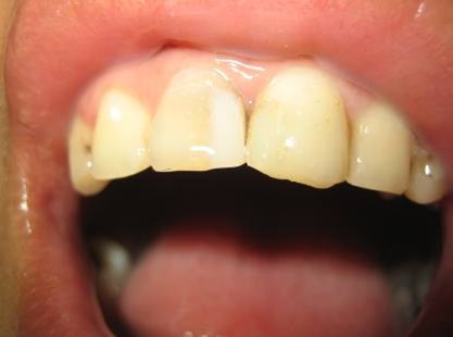
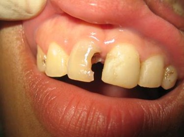
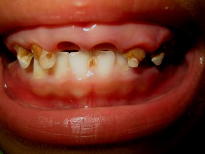
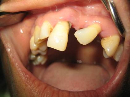
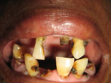
Hardly had Michael Kaluza returned to Germany, when Carsten and Doris H. came to us from Wildeshausen near Bremen. Dr. Carsten H. is a dentist and had read about our project in the newspaper. He and his wife always wanted to work on a development project. They worked a lot. In just two weeks, with the support of our local dentist, 656 patients were treated. Seventy fillings were done with the rather sad conclusion of 1120 pulled teeth. The teeth were beyond saving, and Dr. H.'s heart was bleeding every time he had to draw children and young people's permanent teeth. Some cleanings were also performed. The new prophylaxis unit we have is invaluable. He and Ms. Hansen worked tirelessly from early morning to often into the darkness. They usually had a lot of spectators in the back. The patients lined up and arrived at the clinic before six o'clock in the morning. Our volunteers were always there and stayed until the last patient had been treated

Here are some pictures:






Family H. also wrote a detailed report on their stay with us, which can be read in our website www.mabuhay-ev.de.
On October 9, Sr. Bergitta, a Franciscan Sister of Perpetual Adoration based in Olpe/ Germany, came to us.
She was one of the delegates for the golden anniversary of the founding of the Franciscan Sisters of Perpetual Adoration in Baybay / Leyte. She was allowed to stay with us for a couple of days in Bugko, so we could show her a lot about life in Bugko, the local hospital, and the church here. For her, it was a completely different world, but the friendliness and cheerfulness of Filipinos quickly infected her. Difficult for her were the high temperatures and especially the high humidity. While traveling from Northern Samar to Leyte (the neighboring island,) she saw much of the lush vegetation and the beautiful scenery.







On the same day, our "youngest volunteer," Clea Mae, was born. Chona, our volunteer for many years, gave birth to a baby girl.


This year, we again participated in the campaign "DiBaDu and your team"; over 5162 clubs had registered in our category. The Ing Diba wanted to donate € 1,000 to the 250 most-voted-for voluntary organizations of various sizes based in Germany. We belonged to the 51-200-member category. Among the first 250, we did not make it, but we finished with rank 873 and got for our club "Mabuhay help for life" 281 votes. I want to thank all who voted for us.
A year of many changes and many visitors is coming to an end, and I would like to thank all of you in the name of all Bugkoanons because without the many helping hands and financial support, it would not be possible to run such a program here.
With best wishes for a happy new year and a merry Christmas, I'm your
Sabine Korth
Malipayon nga Pasko (Merry Christmas) from Bugko!

